分析软件

染色体微核分析软件

放射医学和辐射防护的安全评估保障


 性能特点

 自动识别双着丝粒体(dic)、无着丝粒断片(f)等畸变类型。

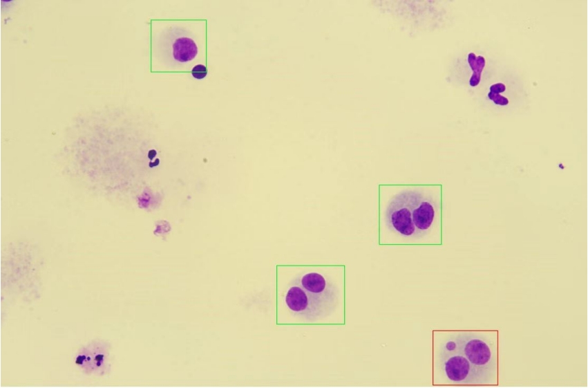
 微核自动识别兼容单核法和双核法,可对包含或不包含微核的双核细胞及单核转化细胞进行精准识别

 参照国家标准 GBZ/T 248-2014、GBZ/T 328-2023自动计算出畸变和微核指标,并进行生物剂量评估。



详情介绍


020.jpg

微核自动分析,精准识别