分析软件

PCC分析软件

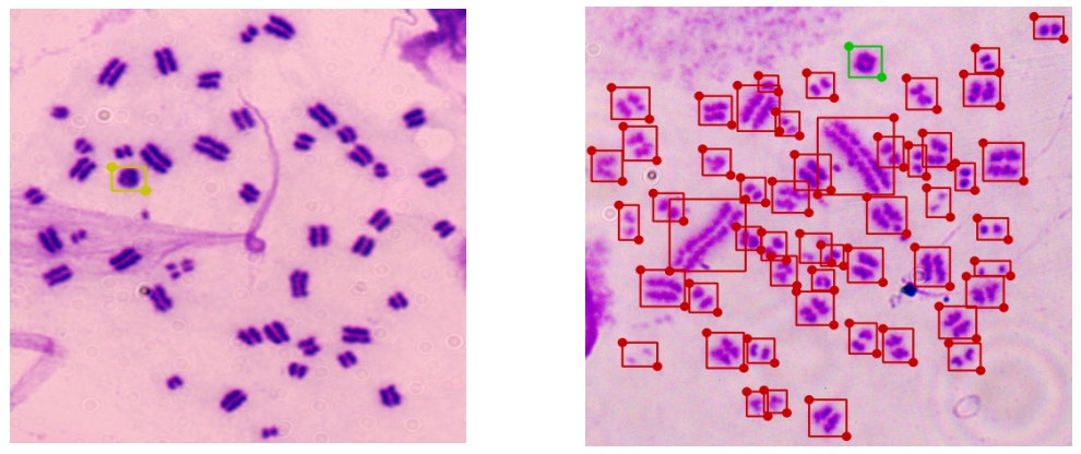
大剂量辐射的有效监测PCC(早熟凝集染色体)


业内领先的PCC分析商用软件,可对PCC细胞中的环状染色体进行精准分析。


性能特点

高分辨率的自动彩色扫描,直观清晰

4~20Gy的照射剂量范围进行估计

智能识别PCC环、杂质、染色单体


详情介绍

030.jpg

高分辨率自动彩色扫描