转载:2024-03-19 15:32:04 来源: 南方都市报
3月19日,中山大学附属第六医院生殖医学中心传来喜讯,国际上首次通过改进后的基于链读测序的长片段二代测序技术,成功实现了端粒融合型环状染色体的单体型构建,应用第三代试管婴儿技术(PGT)成功阻断环状染色体向子代传递的健康宝宝在中山六院诞生,健康茁壮,已满百天。
该院生殖医学中心学科带头人梁晓燕教授透露,携带环状染色体的男性一般生育力较低,女性反复流产、胎儿畸形或不孕不育,这个成功阻断了环状染色体代际传递的宝宝,长大成人后将不再面临上述难题,可以实现正常生育。
据悉,基于这类环状染色体构建单体型的技术方法已申请技术发明专利。“我们希望这一突破性的研究成果,能为更多饱受不孕和遗传疾病风险之苦的家庭生育健康后代带来希望,同时也为医学领域开辟新的道路。”生殖医学中心主任方丛主任医师表示,该技术还有望拓展应用至其他有染色体异常和单基因病的夫妇,为更多家庭带来希望和福音。
一方染色体异常 一方基因变异
这对夫妻想生健康宝宝有多难?
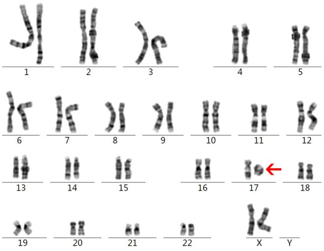
小雪28岁,丈夫29岁,两人步入婚姻殿堂3年,从未避孕却迟迟不孕。在外院经历了三次人工授精均失败,进一步检测发现小雪的染色体检查结果为“46,XX,r(17)(p13q25)[29]/46,XX[71]”,即嵌合型的17号环状染色体,嵌合比例为29%,也就是说小雪体内71%的细胞染色体是正常的,29%的细胞17号染色体形成了一个环状。

该类染色体核型结果(17号染色其中一条体呈现环形)
据悉,环状染色体是人类很罕见的一类染色体结构畸变,携带者一般生育率较低,会承受不孕不育、高发的反复流产或生育畸形儿等风险。这可能就是小雪多年未孕的原因。
经多方打听,2021年12月,他们来到中山六院生殖医学中心寻求帮助。初诊时,任姿副主任医师发现,小雪的身体和腿部均有牛奶咖啡斑,并表现出轻微的语言发育障碍,与17号环状染色体综合征的表型吻合,但小雪的父母染色体均正常,因此确定女方存在新发的染色体结构变异。
在面诊男方时,发现男方存在特殊面容并伴有轻度的智力障碍,为其进行了基因全外显子组测序,结果发现男方KMT2A基因存在一个新发的致病变异。
一方染色体异常,一方基因变异,在这种情况下,小雪夫妻想要生育一个完全健康的孩子非常困难(染色体和基因均正常的理论概率极低)。并且,小雪环状染色体的结构是由于染色体端粒区的融合导致,端粒区为DNA高度重复序列,无法通过传统的三代试管技术判断胚胎是否携带环状染色体,目前也尚无文献报道提及该类环状染色体单体型构建成功的案例。
然而,夫妻双方非常渴望拥有一个健康的孩子,同时也希望能够阻断染色体病和单基因病在家族中的传递。他们选择与中山六院生殖医学中心PGT团队一同踏上探索之路。
环状染色体单体型构建取得突破
2022年2月,在生殖医学中心学科带头人梁晓燕教授、中心主任方丛主任医师的带领下,任姿副主任医师、徐丽南副主任医师、李小兰主治医师及PGT检测室张志强主管技师、何姝婧主管技师等进行了深入讨论。团队进行了多种常用检测方法的尝试,包括荧光原位杂交技术(FISH),染色体微阵列技术(CMA),基因组光学图谱技术(OGM)、三代测序技术(Pacbio和Nanopore),结果都不尽人意。
最后,团队开发了针对环状染色体检测的基于链读测序的长片段二代测序方法。据悉,常规二代测序长度约为单端0.15kp(人类染色体头尾2个端粒的平均长度18-30kb),因此,常规二代测序无法跨越2个端粒融合区域进行检测,经过技术改良后,此例测序长度平均值大于30kb,且碱基准确性比较高,可检测到大量跨越端粒融合区域的长片段DNA分子,从而确认了环状染色体的结构;再通过标记、筛选分类,成功构建了17号环状染色体携带单体型、正常染色体的单体型,同时还成功构建了男方新发致病突变基因的单体型。
随后,团队对胚胎进行了一体化PGT检测(PGT-plus),包括胚胎植入前单基因遗传病检测(PGT-M)、胚胎植入前染色体结构变异检测(PGT-SR),成功判断了胚胎环状染色体及致病基因变异的携带情况。本次共送检11枚胚胎中仅1枚胚胎染色体和基因均正常,异常概率高达90.9%(10/11)。
国际首例“染色体脱环”宝宝顺利诞生
去年3月,唯一一枚正常的胚胎被成功植入小雪的子宫内,十几天后,验孕结果显示成功妊娠。
四个月后,产科主任高羽主任医师团队为小雪进行羊水产前诊断,结果显示胎儿染色体核型为“46,XN”,不携带环状染色体,同时基因检测显示不携带KMT2A基因突变。
2023年12月7日,是小雪夫妇及六院生殖与产科团队非常开心的一天,国际首例“染色体脱环”宝宝顺利诞生,且各项相关评估及检查均正常,宝宝的出世给小雪一家带来了无限的欢乐。
任姿副主任医师提醒,如果夫妻正常性生活未避孕超1年仍未孕,或有不良孕产史,或者夫妻双方或家系成员患有某些遗传病或先天畸形,建议及时前往正规医疗机构的生殖中心进行遗传咨询和检查。
“染色体异常和遗传病可能会导致不孕、反复流产、胎儿畸形、出生缺陷等问题,及早发现并评估能否采用三代试管婴儿技术干预,这对于预防相关风险至关重要。”
采写:南都记者 杨丽云 通讯员 张婷婷 戴希安 简文杨 张志强
特别声明:以上内容(如有图片或视频亦包括在内)为自媒体平台“网易号”用户上传并发布,本平台仅提供信息存储服务。
Notice: The content above (including the pictures and videos if any) is uploaded and posted by a user of NetEase Hao, which is a social media platform and only provides information storage services.